Dr. Carlos Manterola Marchant

Dentista · Ver más sobre las especializaciones

Viña del Mar 1 dirección

Núm. Colegiado: 15.995.059-K

27 opiniones
Tiempo de respuesta aproximado:

Experiencia

Cirujano Dentista
Especialista en ortodoncia y ortopedia Dentomaxilofacial
Miembro de la Sociedad de Ortodoncia de Chile
Perfeccionamiento en ciugia ortognatica, en Centro de Estudios Avanzados en Cirugía Ortognática y Ortodoncia CEACO.
Perfeccionamiento en técnica MBT
Perfeccionamiento en Multiloop Edgewise Archwire (MEAW)
Acreditado en sistema Invisalign.
Acreditado en sistema Ortodoncia Lingual Incógnito
ver más Sobre mí

Especialista en:

  • Ortodoncia

Pacientes que atiendo

Adultos
Niños

Formatos de consulta

Videoconsulta

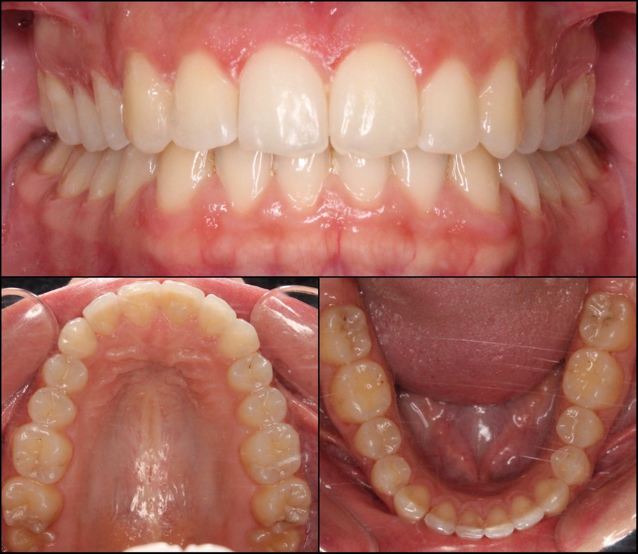
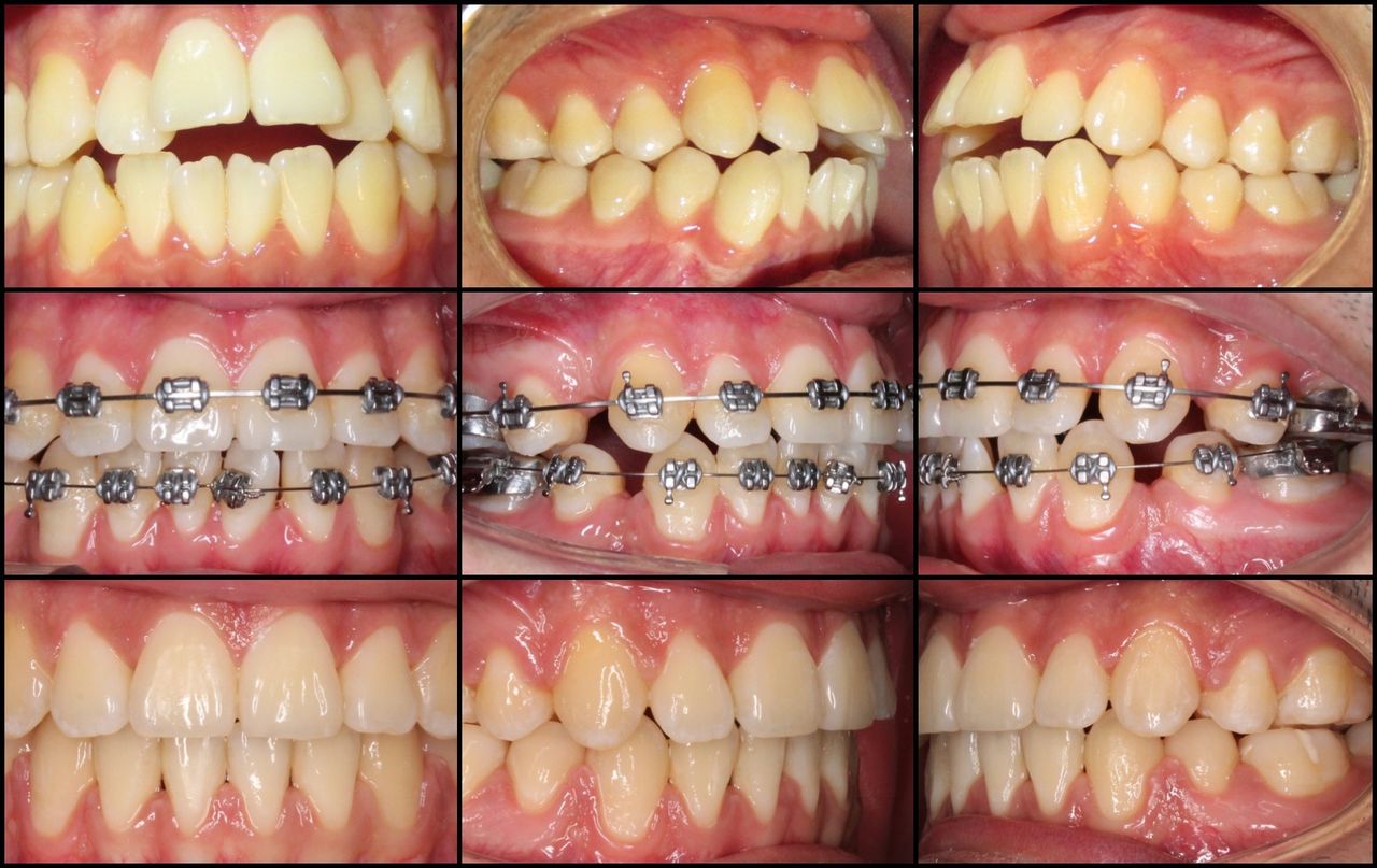
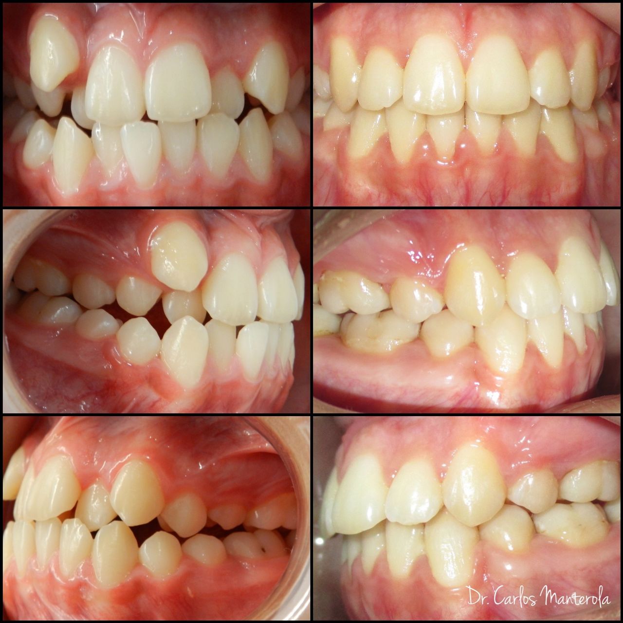
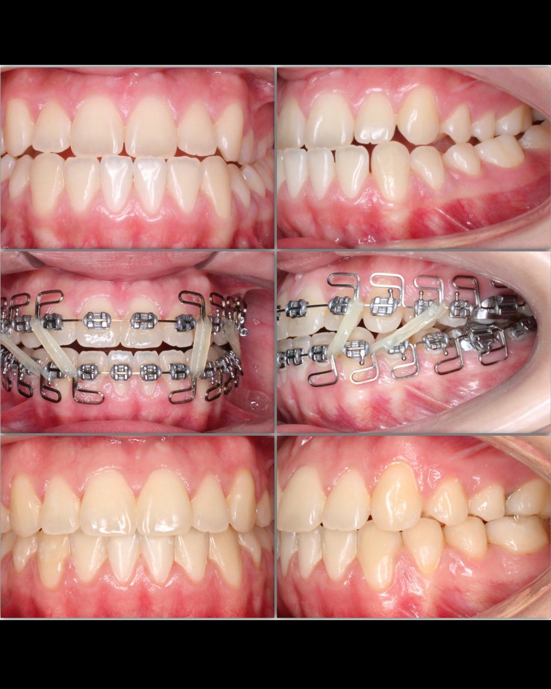
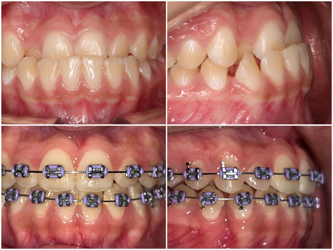
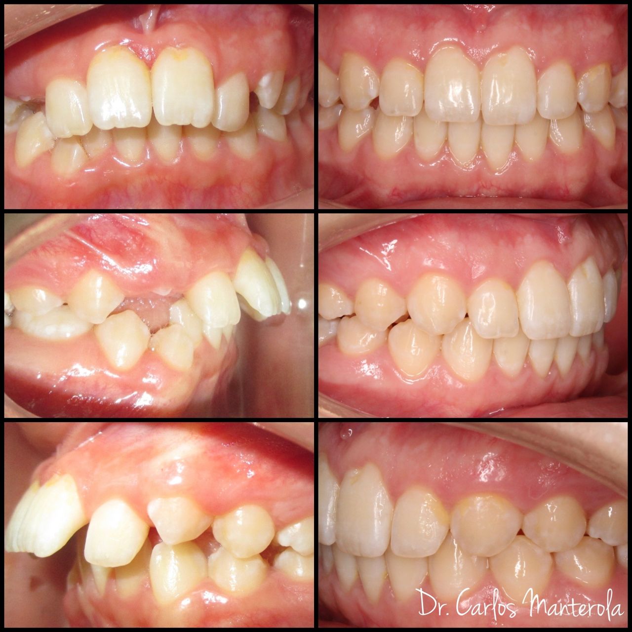
Fotos y videos

Servicios y precios

  • Expansión maxilar


  • Frenillos estéticos


  • Frenillos metálicos


  • Instalación frenillos


  • Ortodoncia


Consultas (2)

Ampliar se abre en una nueva pestaña
Manterola & Marzan Odontología

Reñaca Norte 25 oficina 1009, Viña del Mar 2520000

Disponibilidad

Número de teléfono

9 5352...
Ampliar se abre en una nueva pestaña

Disponibilidad

Este especialista no ofrece reserva online en esta dirección

Número de teléfono

9 5352...

No se aceptan seguros

Este especialista sólo acepta pacientes privados. Usted puede pagar de su bolsillo para reservar, o encontrar otro especialista que acepte su aseguradora.

27 opiniones

Todas las opiniones son importantes, por este motivo, los especialistas no pueden pagar para modificar o eliminar opiniones. Saber más. Más información sobre opiniones
  • F

    Trato transparente. Genera confianza. Tratamiento eficaz.

     • Manterola & Marzan Odontología Instalación frenillos  • 

  • A

    Me siento seguro y satisfecho con los controles ya que todo es súper bien explicado y detallado, dando seguridad y tranquilidad a la hora de llevar a cabo el tratamiento.

     • Manterola & Marzan Odontología Instalación frenillos  • 

  • P

    Excelente atención, explica todo en detalle y eso se agradece mucho.

     • Manterola & Marzan Odontología Ortodoncia  • 

  • A

    Siempre una excelente atención , excelentes instalaciones, buena información del tratamiento, acá la ración de dudas y excelente disposición

     • Manterola & Marzan Odontología Frenillos metálicos  • 

  • P

    Excelente profesional Dr Manterola, llegamos derivados a su consulta por un colega, a quien agradezco por su orientacion. Estamos en un tratamiento nuevo para nosotros pero se da el tiempo de contarnos el paso paso en cada cita

     • Manterola & Marzan Odontología Ortodoncia  • 

  • M

    Excelente profesional más de un año atendiendonos con el... muy simpático y explica todo en lenguaje simple... siempre muy puntual en cada consulta

     • Manterola & Marzan Odontología Ortodoncia  • 

  • J

    Excelente profesional. Muy atento y dedicado con su paciente. Mantiene protocolos de atención, genera tranquilidad al momento de la atención

     • Manterola & Marzan Odontología Ortodoncia  • 

  • B

    Excelente Doctor, con mi hija llevamos 4 años atendiéndonos todos los meses con el doctor, preocupado, profesional, amable y dedicado en su trabajo. Felices con la atención y procedimientos que hemos tenido. Atte. Betsabeth y Constanza.

     • Manterola & Marzan Odontología Ortodoncia  • 

  • D

    Muy profesional, excelente la atención de todo el equipo y muy buenos resultados. Toda la familia y amigos se atienden en su consultorio y jamás un problema.

     • Manterola & Marzan Odontología Ortodoncia  • 

  • L

    Mi hijo es paciente del Doctor desde hace mucho tiempo, es excelente profesional, muy amable. 100% recomendable

     • Manterola & Marzan Odontología Ortodoncia  • 

Se ha producido un error, inténtalo de nuevo.