Dr. Matias Andrade

Dentista · Ver más sobre las especializaciones

Núm. Colegiado: 725554

13 opiniones
Tiempo de respuesta aproximado:

Experiencia

Formación Académica:

•⁠ ⁠Cirujano Dentista, Pontificia Universidad Católica de Chile, titulado con el primer lugar en ranking

•⁠ ⁠Máster en Odontología, mención Estética Dental y Rehabilitación Oral, University of Otago, titulado con nota máxima y primer lugar en ranking

•⁠ ⁠Diplomado en Odontología Restauradora Adhesiva y Biomimética, Santiago, Chile

Habilidades y Competencias:

•⁠ ⁠Precisión milimétrica: Mi trabajo es caracterizado por una precisión y atención al detalle excepcionales, lo que me permite lograr resultados óptimos en cada tratamiento.

•⁠ ⁠Alta capacidad para salvar dientes: Estoy altamente capacitado para diagnosticar y tratar problemas dentales complejos, con el objetivo de salvar dientes y evitar extracciones innecesarias.

•⁠ ⁠Experiencia en rehabilitación oral: Mi experiencia en rehabilitación oral me permite diseñar y ejecutar planes de tratamiento personalizados para restaurar la función y estética dental de mis pacientes.

Enfoque:

•⁠ ⁠Atención personalizada: Me enfoco en proporcionar atención personalizada a cada paciente, escuchando sus necesidades y preocupaciones para desarrollar un plan de tratamiento que se adapte a sus necesidades individuales.

•⁠ ⁠Técnicas avanzadas: Me mantengo actualizado en las últimas técnicas y tecnologías en odontología, lo que me permite ofrecer tratamientos de alta calidad y eficacia

ver más Sobre mí

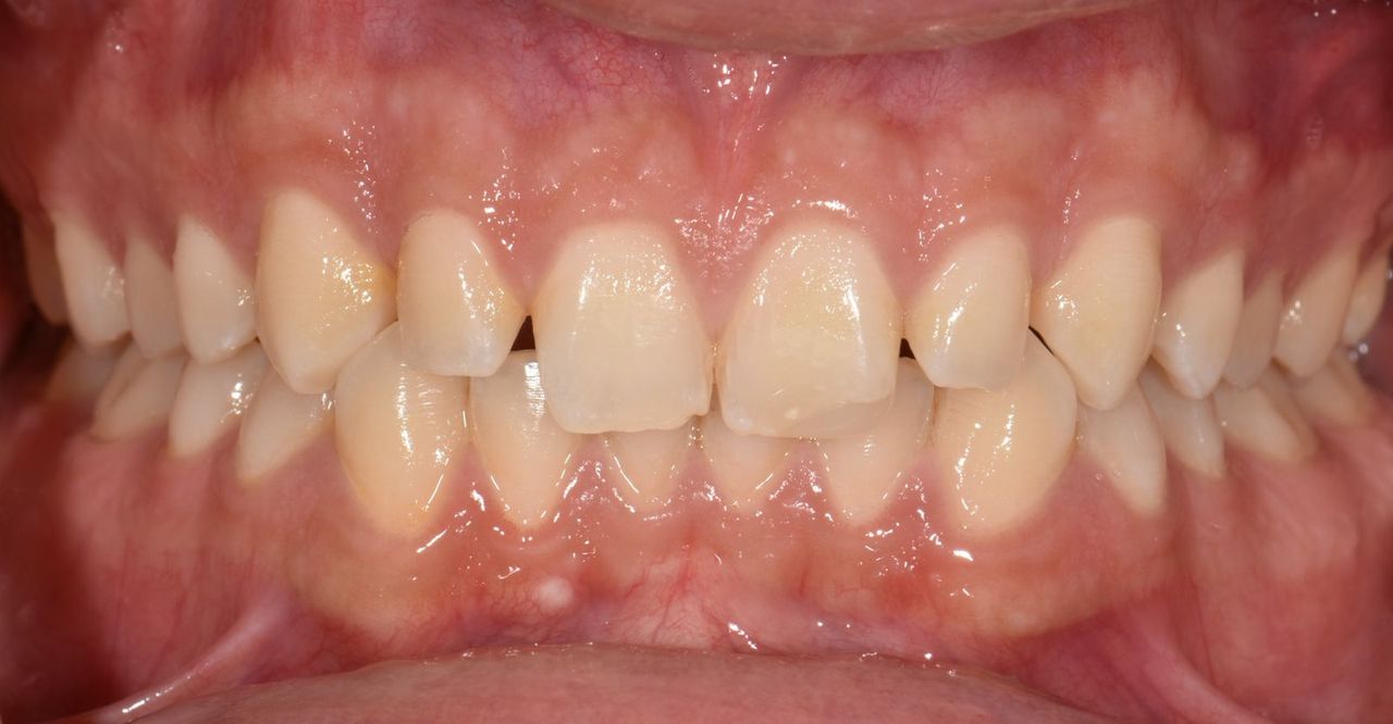
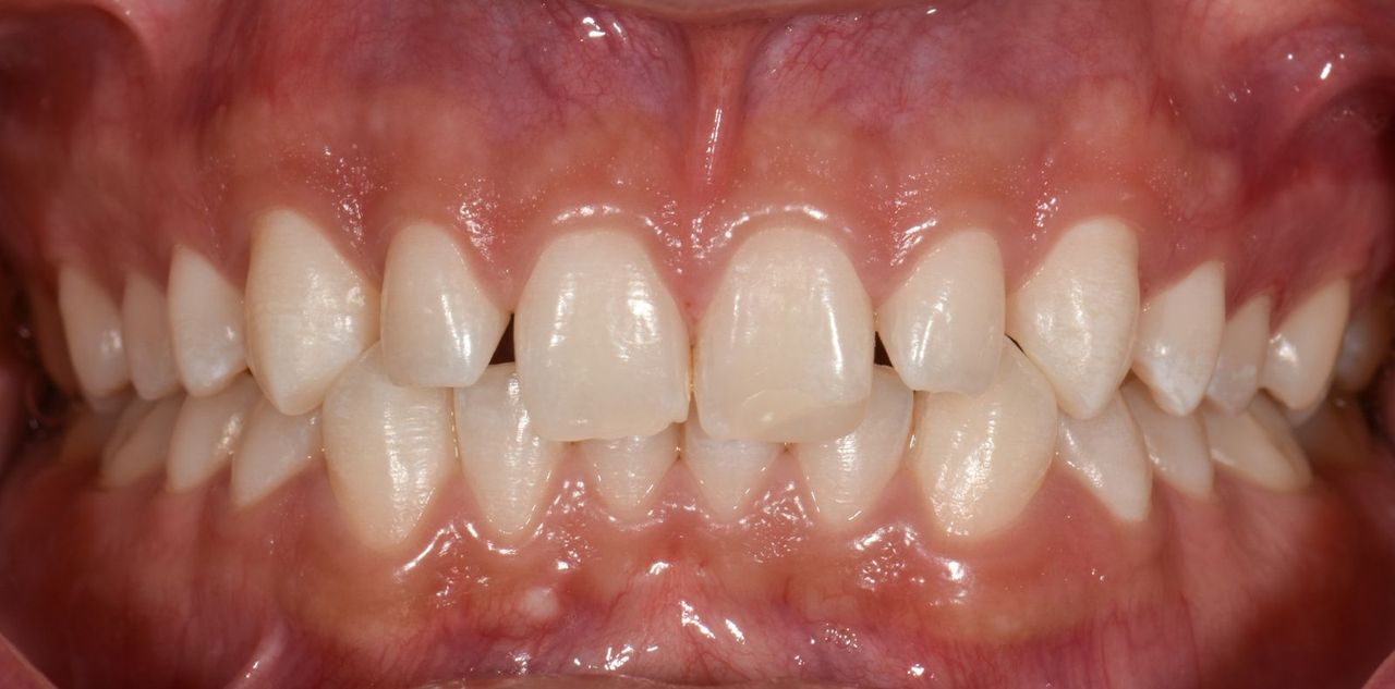
Especialista en:

  • Rehabilitación oral

Pacientes que atiendo

Adultos
Niños

Formatos de consulta

Fotos y videos

Servicios y precios

  • Primera visita Odontología

    Desde $10.000

  • Blanqueamiento dental

    $120.000

  • Atención dental de pacientes con quimioterapia o radioterapia

    Desde $10.000

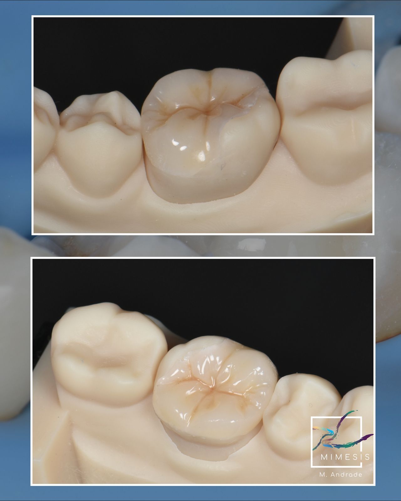
  • Carillas estéticas: resina, porcelana, circonio

    Desde $70.000

  • Coronas y Puentes

    Desde $300.000

Consulta

Ampliar se abre en una nueva pestaña
Dental Dalí

Avenida Vicuña Mackenna Poniente 7255, Santiago 8260183

Disponibilidad

Número de teléfono

(2) 3217...
9 4233...
Ampliar se abre en una nueva pestaña

Seguros aceptados

Se aceptan seguros, pero la cobertura varía según la ubicación y el servicio.

  • Boleta de Honorarios reembolsable en ISAPRES

13 opiniones

Todas las opiniones son importantes, por este motivo, los especialistas no pueden pagar para modificar o eliminar opiniones. Saber más. Más información sobre opiniones
  • A

    Recomiendo encarecidamente al Dr. Matías Andrade. Es un excelente profesional.

     • Dental Dalí Carillas estéticas: resina, porcelana, circonio  • 

  • L

    Excelente atención muy detallado y comprometido en su labor

     • Dental Dalí Primera visita Odontología  • 

  • D

    Me encantó para ser tan joven es el mejor doctor que me he atendido .atento.
    muy profesional.didactico.tiene manos muy suaves realmente 100% recomendable me encantó su atencion

     • Dental Dalí Extracciones dentales  • 

  • J

    Muy explicativa la consulta, me dejó bastante claro

     • Dental Dalí Primera visita Odontología  • 

  • M

    muy detallista, se preocupa del resultado estético.

     • Dental Dalí Otro  • 

  • C

    Muy delicado para trabajar. Explica cada detalle para la tranquilidad del paciente. Satisfecha con el resultado.

     • Dental Dalí Resinas fotocuradas estéticas  • 

  • A

    Dr Matias excelente profesional, preocupado y dedicado en cada tratamiento que realiza, me ayudo con varias muelas que necesitaban reparaciones y las dejo 10/10 nunca sentí dolor mil recomendado!

     • Dental Dalí Otro  • 

  • R

    Me ayudo en darme una opinion sincera y detallada sobre mi estado dental, cuando mas lo necesitaba jaja muy buen dentista

     • Dental Dalí Limpieza dental  • 

  • P

    Muy buen profesional desde la primera visita fue muy claro en explicar todo , muy respetuoso , , humano completamente recomendable .

     • Dental Dalí Coronas y Puentes  • 

  • N

    Matías me ayudó con un procedimiento mal echo de otro profesional, me explicó con lujo de detalle cada cosa que haría para ayudarme, es amoroso, tremendamente profesional, agradezco mucho la ayuda otorgada!

     • Dental Dalí Obturaciones  • 

Se ha producido un error, inténtalo de nuevo.