Dra. Gabriela Isabel Bonatti Zamora

Dentista · Ver más sobre las especializaciones

Viña del Mar 2 direcciones

Núm. Colegiado: 792629

8 opiniones
Tiempo de respuesta aproximado:

Experiencia

Soy Cirujano Dentista y Laboratorista Dental, con más de 3 años de experiencia en el área clínica y rehabilitación oral. Me enfoco en brindar una atención integral, cercana y de alta calidad, adaptada a las necesidades de cada paciente.

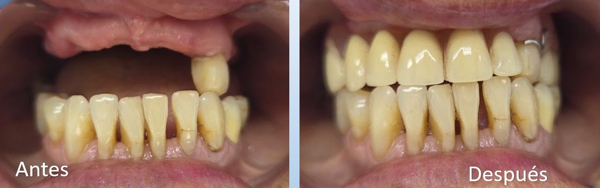
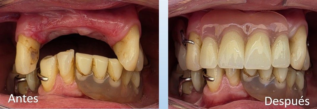
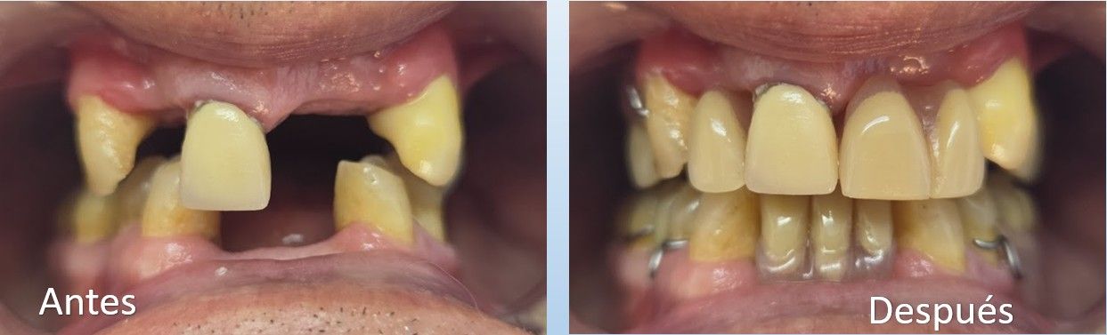
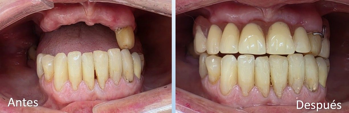
Realizo tratamientos como manejo de caries, limpiezas dentales (profilaxis), restauraciones (tapaduras), urgencias dentales, confección de planos de relajación y prótesis dentales, tanto estéticas como funcionales.

Mi formación dual como dentista y laboratorista me permite ofrecer soluciones más precisas, rápidas y personalizadas, especialmente en el área de rehabilitación protésica.

Mi compromiso es entregar una atención responsable, profesional y orientada al bienestar y confianza de mis pacientes en cada etapa de su tratamiento.

 Agenda tu evaluación directamente por WhatsApp

ver más Sobre mí

Especialista en:

  • Odontólogo general
  • Rehabilitación oral

Pacientes que atiendo

Adultos (Sólo en algunas direcciones)
Niños (Sólo en algunas direcciones)

Formatos de consulta

Videoconsulta

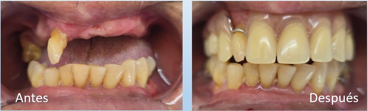
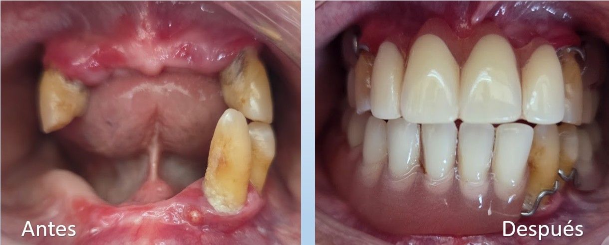
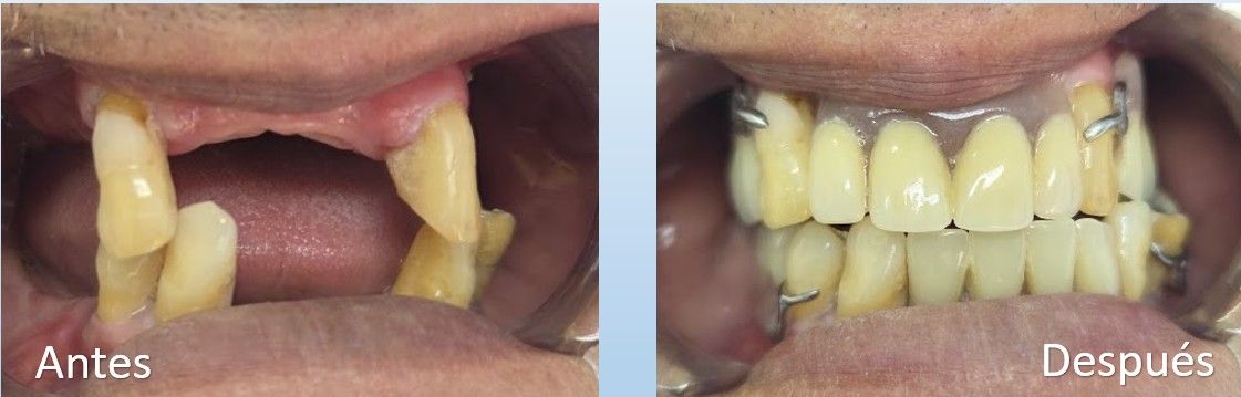
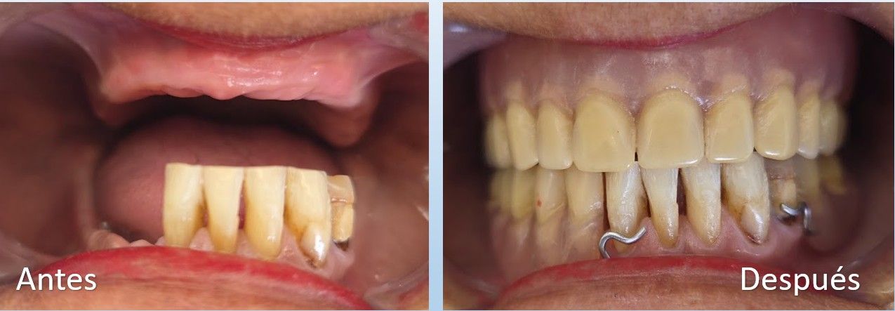
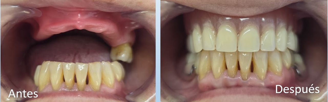
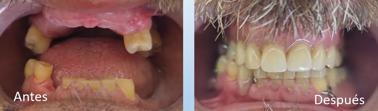
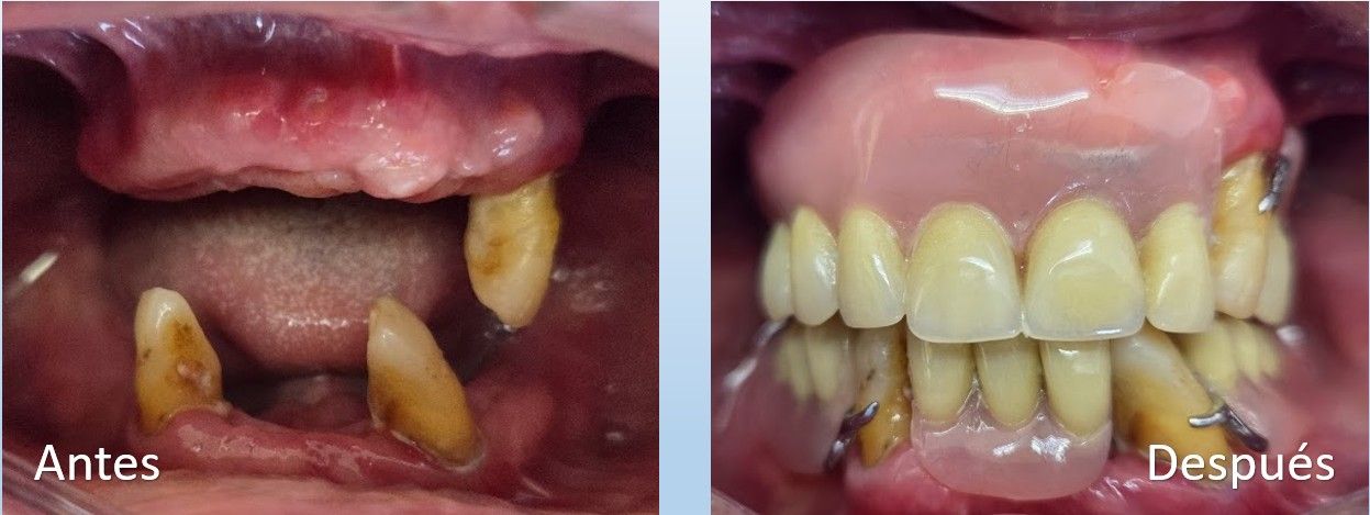
Fotos y videos

Logo
Dra. Gabriela Isabel Bonatti Zamora

Von Schroeder 273, Cerca del Compín, Viña del Mar 2571526

Sé que la experiencia dental en la infancia es clave, por eso ofrezco una atención cercana, amable y sin miedo, para que cada visita sea positiva y tranquila.

29/04/2026

Servicios y precios

  • Atención dental de pacientes con discapacidad intelectual y cognitiva

    Desde $10

  • Extracción dental

    $30.000

  • Retiro de frenillos

    $50.000

  • Pulpotomía - Pulpectomía

    $30.000

  • Prótesis Dental

    $50.000

Consultas (3)

Ampliar se abre en una nueva pestaña
CLÍNICA DENTAL INTEGRAL.

Etchevers 158, oficina 302, Viña del Mar 2580353

Disponibilidad

Ampliar se abre en una nueva pestaña

Disponibilidad

Este especialista no ofrece reserva online en esta dirección

Ampliar se abre en una nueva pestaña
Clínica Armoniza

Von Schroeder 273, Cerca del Compín, Viña del Mar 2571526

Disponibilidad

Este especialista no ofrece reserva online en esta dirección

Número de teléfono

9 7515...
Ampliar se abre en una nueva pestaña

No se aceptan seguros

Este especialista sólo acepta pacientes privados. Usted puede pagar de su bolsillo para reservar, o encontrar otro especialista que acepte su aseguradora.

8 opiniones

Nuevo perfil en Doctoralia

Los pacientes ya han empezado a añadir sus opiniones

Todas las opiniones son importantes, por este motivo, los especialistas no pueden pagar para modificar o eliminar opiniones. Saber más. Más información sobre opiniones
  • A

    Excelente atención, buena profesional, da confianza

     • CLÍNICA DENTAL INTEGRAL. Urgencias dentales  • 

  • D

    Excelente atención ,muy puntual , recomendable 100%.

     • CLÍNICA DENTAL INTEGRAL. Primera visita Odontología  • 

  • Z

    Execelente profesional, me sentí muy cómoda en todo momento.

     • CLÍNICA DENTAL INTEGRAL. Limpieza dental  • 

  • C

    Excelente profesional, buena atención, dedicada, empática, detalla cada tratamiento. La recomiendo al 1000%

     • CLÍNICA DENTAL INTEGRAL. Urgencias dentales  • 

  • F

    Maravillosa la atención y Feliz con los resultados

     • CLÍNICA DENTAL INTEGRAL. Otro  • 

  • E

    La Dra.Gabriela me atendió muy bien,es una persona muy empatada y quedo muy conforme con su servicio, la recomiendo.

     • CLÍNICA DENTAL INTEGRAL. Urgencias dentales  • 

  • R

    La dra bonatti me explico muy bien detallado el procedimiento de limpieza dental, quedo todo muy bien y me veo croqueto xD

     • CLÍNICA DENTAL INTEGRAL. Limpieza dental  • 

  • A

    Excelente profesional, fue demasiado amorosa en la consulta y quedé muy feliz con los resultados ! Y responde todas las consultas que tienen de una muy buena forma

     • CLÍNICA DENTAL INTEGRAL. Carillas de Porcelana  • 

Se ha producido un error, inténtalo de nuevo.

Dudas solucionadas

9 dudas solucionadas a pacientes en Doctoralia

Hola la 5 días me extreyeron el 2 molar y me dejaron unas puntas horribles el doctor dijo q éso el mismo cuerpo lo desechar o la encía lo arropa...es normal dejar esas puntas

Hola, muchas veces es mejor tomar una radiografía panorámica y/o periapical para comprobar que no quede ningún resto de diente en boca.

Dra. Gabriela Isabel Bonatti Zamora

Duda sobre Tramadol

Que puedo usar para el dolor de muelas mientras voy al dentista?

Hola puede tomar clonixinato de lisina 125mg por 5 dias + Ketorolaco 10mg por 5 dias tambien.

Dra. Gabriela Isabel Bonatti Zamora
Muestra todas las respuestas

Todos los contenidos publicados en Doctoralia, especialmente preguntas y respuestas, son de carácter informativo y en ningún caso deben considerarse un sustituto de un asesoramiento médico.